Cosmetic

Dental Veneers

Improving the Look and the Health of Your Smile

At Brookline Dental Specialists, the health of your teeth and smile is our number one priority, but we also know that the look and feel of your smile can be just as important. A great-looking smile boosts confidence and self-esteem and often leads to a renewed commitment to overall dental health. In addition, if you are experiencing TMJ, migraine, and sleep disruptions we are here to help you find a treatment that can alleviate your pain and lead to better overall health. At BDS, we are pleased to be able to offer cosmetic treatments that can help you feel and look your best!

Invisalign

As we age, our teeth can shift, resulting in less-than-perfectly straight smiles. Many of our patients also had orthodontic treatment when they were young and failed to maintain results with proper use of retainers. Invisalign is a wire and metal bracket-free alternative to traditional braces. Invisalign therapy consists of custom-molded, durable plastic aligners that you replace every two weeks to slowly and effectively straighten your teeth. Before starting treatment, our orthodontic specialist Dr. Mariam Ghavamian will evaluate and then create a customized treatment plan, complete with 3D imaging of the expected results. Because you can remove the Invisalign aligners, to eat and clean your teeth (or take an in-progress selfie!), Invisalign offers all of the straightening benefits of traditional braces with virtually no restrictions.

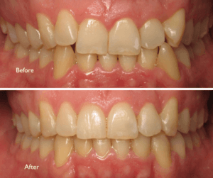
Veneers

Whether you are looking for a full smile makeover, or if you have other dental concerns including gaps, damaged or crooked teeth, BDS offers porcelain veneers that are a permanent solution for a beautiful, confident smile. Our veneers are custom-designed and expertly bonded to the front of existing teeth. Veneer treatment, which involves no oral anesthesia and is virtually pain-free, takes two office visits, but the additional time is well-worth the brilliant, long-lasting results. On average, with proper care and regular dental cleanings, veneers can last 10 years or more and are easily replaceable. An added benefit to veneers is that they are as strong, or even stronger than your natural teeth.

Botox Therapy

Do you suffer from TMJ dysfunction or pain from clenching or grinding your teeth? Pain from the temporomandibular joint can cause headaches, facial tension, and the inability to open and close your mouth comfortably. Botox cosmetic can help alleviate pain by relaxing the facial muscles. Here in our office AAFE-certified Dr. Katarina Torres can customize Botox treatments for these conditions. A dentist is the ideal provider of Botox therapies as they spend years studying facial anatomy as part of their dental training and have extensive experience injecting anesthetics in many of the same maxillofacial areas that are treated with Botox.

Zoom! Teeth Whitening

There are many causes for tooth discoloration, some of which are preventable, like smoking and drinking coffee and red wine; some of which are not, like aging and genetics. Whatever the reason for tooth discoloration, if you are unhappy with the color of your teeth, BDS offers Zoom! Teeth Whitening. Zoom! treatment is time-efficient, requiring only one office visit for the treatment itself. During treatment, a hydrogen-peroxide gel is applied to teeth and then the Zoom! laser stimulates the gel for three 15-minute sessions. Teeth can become up to eight shades lighter in a single appointment. You also receive a take-home touch-up kit to help the effects of your whitening treatment last longer.

If you are looking to improve the appearance of your smile, realign your teeth and your bite, or alleviate nagging jaw or facial pain, Brookline Dental Specialists has a solution that could be right for you. Contact our office today to set up a consultation!

Explore this Content with AI: